CÁNCER DE PRÓSTATA
“Es el cáncer más frecuente en la población masculina en México, pero diagnosticado a tiempo es una enfermedad curable”
De acuerdo a datos publicados por la OMS, el cáncer de próstata es el más frecuente en la población masculina en México, con 26,472 nuevos casos reportados el año 2020, sin embargo, no representa la primera causa de muerte en esta población, esto debido a que un tumor de próstata diagnosticado a tiempo es una enfermedad manejable, curable en la mayoría de los casos y muchos de los pacientes diagnosticados a tiempo pueden seguir haciendo una vida normal.
La edad es el factor de riesgo mas importante de la enfermedad, siendo más frecuente en pacientes de 50 años o mas. Esta es la edad en que los hombres deberían comenzar a llevar un control con el urólogo, mientras que los pacientes que tienen antecedentes familiares de cáncer de próstata deben consultar a partir de los 40.
Los tumores prostáticos se pueden originar en su periferia y no obstruir la vía urinaria, por lo tanto ser totalmente asintomático. Cuando un tumor es tan grande que llega a bloquear la vía urinaria, han pasado algunos años desde su origen y eso significa que ya ha tenido oportunidad de producir metástasis a distancia. Por lo tanto, siempre se les recuerda a las personas no esperar a tener síntomas para consultar preventivamente por la posibilidad de tener cáncer.
La exploración clinica -tacto rectal- realizada por un urólogo y el análisis del antígeno prostático específico representan el primer paso en la detección del cáncer de próstata ya que permite identificar datos de sospecha y da la pauta para la indicación de un estudio de imagen complementario o una biopsia prostática.
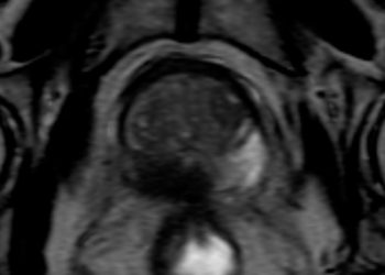
La resonancia magnética ha tomado un papel fundamental en el diagnóstico del cáncer de próstata, ya que nos permite confirmar o descartar la presencia de lesiones sospechosas en la próstata, disminuyendo así la cantidad de biopsias innecesarias y en los casos en que sea necesaria la biopsia aumenta su precisión diagnóstica. Cuando se confirma el diagnóstico de cáncer la resonancia también es de gran utilidad, ya que permite valorar la extensión de la enfermedad.
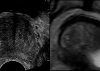
El diagnóstico definitivo de cáncer de próstata se obtiene mediante el analisis histopatológico del tejido extraído en una biopsia. La biopsia transrectal guiada por ultrasonido, técnica ampliamente utilizada desde la década de los 80`s es la mas conocida, sin embargo en la última década se han desarrollado nuevas técnicas con el objetivo de aumentar su precisión diagnóstica, una de estas es la biopsia prostática con fusión resonancia magnética-ultrasonido (MRI-TRUS) que permite sincronizar las imágenes obtenidas por resonancia magnética con las imágenes generadas por ultrasonido en tiempo real y dirigir la toma de muestras hacia las zonas de sospecha.
- 3 Verdades sobre el cáncer de próstata:
- Si no tengo molestias ¿puedo estar tranquilo?
- No, el cáncer de próstata suele ser silencioso y no dar ningun síntoma, por lo que la consulta regular con el médico urólogo es indispensable para su diagnóstico temprano.
- Si tengo el antígeno prostático elevado ¿tengo cáncer de próstata?
- No, el antígeno prostático es una herramienta que orienta en problemas de la próstata, su correcta interpretación se lograra una vez que el médico haya realizado una adecuada exploración clínica.
- ¿La biopsia de próstata con método de fusión es un procedimiento doloroso?
- No, es un procedimiento realizado bajo sedación, por lo que el paciente no presenta dolor o molestias dutante la biopsia.
- Si no tengo molestias ¿puedo estar tranquilo?
Dr. Juan José Biagi de León


